기사 목록
-
식약처, 바이오의약품 해외 인허가 정보 제공 확대
-
JW생명과학, 금융위에 증권신고서 제출..10월 상장
-
CJ헬스케어, 독거 어르신들에 '편안한 숨' 선물
-
휴온스, 농ㆍ수ㆍ축산 바이오업체 바이오토피아 인수
-
카이노스메드·파스퇴르연구소, B형 간염치료제 공동 개발
-
LG생명과학, 14년만에 역사속으로..LG화학에 흡수합병(종합)
-
동아에스티 수출 당뇨신약, 비알콜성지방간염약 美 임상 개시
-
LG생명과학, 14년만에 역사속으로..LG화학에 흡수합병
-
삼성바이오에피스, 바이오시밀러 ‘플릭사비’ 영국 출시
-
대화제약, '파크리탁셀' 성분 먹는 항암제 '리포락셀' 허가
-
케어젠, 미국 법인 케어젠바이오파마 설립..328억 투입
-
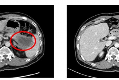
젬백스 리아백스주, 말기췌장암 환자서 '종양감소 효과' 확인
-
릴리에 수출 한미약품 신약, 후속임상 돌입..다른 신약은?
-
뉴라클사이언스·에이비온 등 범부처신약개발 신규과제 선정
-
신테카바이오·카이노스메드 '파킨슨병 치료제' 공동 개발